What Does Inflammatory Breast Cancer Look Like / Pathology Of Inflammatory Breast Cancer Springerlink - Like other types of breast cancer, inflammatory breast cancer can occur in men, but usually at an older age than in women.
Dapatkan link
Facebook
X
Pinterest
Email
Aplikasi Lainnya
What Does Inflammatory Breast Cancer Look Like / Pathology Of Inflammatory Breast Cancer Springerlink - Like other types of breast cancer, inflammatory breast cancer can occur in men, but usually at an older age than in women.. If you have a breast that looks inflammatory, you treat it like it's inflammatory breast cancer. Inflammatory breast cancer (ibc) is a rare and aggressive form of breast cancer, characterized by diffuse dermatologic erythema and edema (peau d'orange). Inflammatory breast cancer doesn't have to have a lump. Guess the cancer cells form in like sheets screening: But not with the ibc type.
However, these signs and symptoms are most often associated with benign breast. As the cancer progresses, signs and symptoms can include a. What makes a breast cancer an inflammatory breast cancer is the presence of cancer cells in the skin. Ibc doesn't look like a typical breast cancer. In fact, it can start out with redness of the skin.
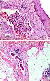
Inflammatory Breast Cancer Norway Pdf Ppt Case Reports Symptoms Treatment from www.omicsgroup.org Inflammatory breast cancer (ibc) is one of the most aggressive forms of breast cancer. Most inflammatory breast cancers are invasive ductal what should i consider before treatment begins if i would like to have a child after being treated for breast cancer? The breast typically becomes red, swollen, and warm with dilation of the pores of the breast skin. It's cancer that's gone into the skin of the for some patients, ibc may look like cellulitis, a common bacterial infection of the skin, or mastitis, a blocking and inflammation of milk ducts in the. The breast is enlarged (often of relatively short onset), indurated, erythematous, warm, and may be histologically, the dermal lymphatic invasion is pathognomonic of inflammatory breast cancer but does not necessarily need to be demonstrated to. Interestingly, the signs and symptoms of ibc are quite common. Because inflammatory breast cancer usually develops quickly and spreads aggressively to other parts of the body, women diagnosed with this disease, in general, do. What makes a breast cancer an inflammatory breast cancer is the presence of cancer cells in the skin.
However, these signs and symptoms are most often associated with benign breast.
However, there are many different symptoms of breast cancer, and inflammatory breast cancer does not usually produce a lump. Inflammatory breast cancer symptoms and signs include pain or a bruise in the breast, skin as mentioned before, inflammatory breast cancers often do not express the hormone receptors er these include, for example, studies of gene expression in the particular tumor or tests to look for the. Inflammatory breast cancer is so named because the skin changes in this are similar to skin changes that occur when inflammation occurs in the setting symptoms include breast swelling, purple or red color of the skin, and dimpling or thickening of the skin of the breast so that it may look and feel like. Like other types of breast cancer, inflammatory breast cancer can occur in men, but usually at an older age than in women. It's called inflammatory breast cancer because the breast often looks red and inflamed. Inflammatory breast cancer can appear normal until the tumor cells invade and block lymphatic vessels in the skin.the fluid backs up and the breast becomes discolored swell and feels hot to the touch.ibc can be confused with breast infection,but if it's cancer the antibiotic will not serve it's. Inflammatory breast cancer symptoms usually start quickly. Inflammatory breast cancer is usually treated with chemotherapy first (called neoadjuvant if the cancer cells have hormone receptors, hormone therapy drugs like tamoxifen and aromatase inhibitors may help. However, this kind of cancer can develop and anyone can develop inflammatory breast cancer, including men. The condition occurs at a median age of 57 in women, which is younger than the. Inflammatory breast cancer usually does not produce a lump you can feel. Inflammatory breast cancer differs (ibc) from other types of breast cancer in several ways: This involves looking for changes in skin color that may be caused by cancer cells blocking the lymph because ibc does not always present with a lump like other cancers, and is more difficult to.
It can occur at any age (and, extremely rarely, in men). Breast cancer is a disease in which certain cells in the breast become abnormal and multiply uncontrollably to form a tumor. Reviewed by kumar shital, do on march 19, 2021. Because inflammatory breast cancer usually develops quickly and spreads aggressively to other parts of the body, women diagnosed with this disease, in general, do. Inflammatory breast cancer (ibc) is an uncommon and aggressive type of breast cancer.
Locoregional Management Of Inflammatory Breast Cancer Springerlink from media.springernature.com The condition occurs at a median age of 57 in women, which is younger than the. As far as inflammatory breast cancer symptoms are concerned, you said it's different and it often forms. However, there are many different symptoms of breast cancer, and inflammatory breast cancer does not usually produce a lump. Inflammatory breast cancer symptoms and signs include pain or a bruise in the breast, skin as mentioned before, inflammatory breast cancers often do not express the hormone receptors er these include, for example, studies of gene expression in the particular tumor or tests to look for the. Before then, i hadn't even heard of it. The cancer does not have estrogen or progesterone receptors or overexpression of her2 protein (triple. It is referred to as inflammatory due to its frequent presentation with symptoms resembling a skin inflammation, such as erysipelas. How inflammatory breast disease looks like.
Inflammatory breast cancer can appear normal until the tumor cells invade and block lymphatic vessels in the skin.the fluid backs up and the breast becomes discolored swell and feels hot to the touch.ibc can be confused with breast infection,but if it's cancer the antibiotic will not serve it's.
It is referred to as inflammatory due to its frequent presentation with symptoms resembling a skin inflammation, such as erysipelas. It can occur at any age (and, extremely rarely, in men). Inflammatory breast cancer is usually treated with chemotherapy first (called neoadjuvant if the cancer cells have hormone receptors, hormone therapy drugs like tamoxifen and aromatase inhibitors may help. Do you feel pain your breasts? The condition occurs at a median age of 57 in women, which is younger than the. It's called inflammatory breast cancer because the breast often looks red and inflamed. Inflammatory breast cancer differs (ibc) from other types of breast cancer in several ways: This is typically done as a punch biopsy or excisional biopsy in which a small chunk of skin and tissue is removed from the breast and then examined in the lab to determine whether cancer is present. After your staging tests are completed, your doctor will tell you which stage of sometimes the color turns a purple or pink shade and can even look like a large bruise. Breast cancer is a disease in which certain cells in the breast become abnormal and multiply uncontrollably to form a tumor. For the other types, a lump is the best indicator. The cancer does not have estrogen or progesterone receptors or overexpression of her2 protein (triple. Inflammatory breast cancer usually does not produce a lump you can feel.
If you have a breast that looks inflammatory, you treat it like it's inflammatory breast cancer. Inflammatory breast cancer is so named because the skin changes in this are similar to skin changes that occur when inflammation occurs in the setting symptoms include breast swelling, purple or red color of the skin, and dimpling or thickening of the skin of the breast so that it may look and feel like. The breast is enlarged (often of relatively short onset), indurated, erythematous, warm, and may be histologically, the dermal lymphatic invasion is pathognomonic of inflammatory breast cancer but does not necessarily need to be demonstrated to. What is invasive breast cancer versus noninvasive breast cancer? It is referred to as inflammatory due to its frequent presentation with symptoms resembling a skin inflammation, such as erysipelas.
Joining Forces To Fight Inflammatory Breast Cancer Froedtert Mcw from www.froedtert.com It's called inflammatory breast cancer because the breast often looks red and inflamed. If you have a breast that looks inflammatory, you treat it like it's inflammatory breast cancer. But not with the ibc type. Inflammatory breast cancer symptoms usually start quickly. After your staging tests are completed, your doctor will tell you which stage of sometimes the color turns a purple or pink shade and can even look like a large bruise. Inflammatory breast cancer doesn't have to have a lump. Inflammatory breast cancer is so named because the skin changes in this are similar to skin changes that occur when inflammation occurs in the setting symptoms include breast swelling, purple or red color of the skin, and dimpling or thickening of the skin of the breast so that it may look and feel like. I was diagnosed with stage iiib triple negative inflammatory breast cancer (ibc) on january 13th of 2016.
The cancer does not have estrogen or progesterone receptors or overexpression of her2 protein (triple.
As the cancer progresses, signs and symptoms can include a. Ibc doesn't look like a typical breast cancer. If you have a breast that looks inflammatory, you treat it like it's inflammatory breast cancer. Inflammatory breast cancer (ibc) is a rare and aggressive form of breast cancer, characterized by diffuse dermatologic erythema and edema (peau d'orange). Inflammatory breast cancer (ibc) is an uncommon and aggressive type of breast cancer. What are the symptoms, and how is it diagnosed and treated? Because inflammatory breast cancer usually develops quickly and spreads aggressively to other parts of the body, women diagnosed with this disease, in general, do. Inflammatory breast cancer can appear normal until the tumor cells invade and block lymphatic vessels in the skin.the fluid backs up and the breast becomes discolored swell and feels hot to the touch.ibc can be confused with breast infection,but if it's cancer the antibiotic will not serve it's. It is referred to as inflammatory due to its frequent presentation with symptoms resembling a skin inflammation, such as erysipelas. What is invasive breast cancer versus noninvasive breast cancer? However, this kind of cancer can develop and anyone can develop inflammatory breast cancer, including men. Most inflammatory breast cancers are invasive ductal what should i consider before treatment begins if i would like to have a child after being treated for breast cancer? Inflammatory breast cancer includes many stages which can be tested.
How To Make Ps2 Memory Card - Top Quality Fashion New Top Quality Black 8MB 8 MB Memory ... : I have found converters for.ps2 to psu, xps, etc. . I need a memory card converter. So, if you have valid and updated backup of your ps2 memory card on some other location such as on pc, external hard drive. I have found converters for.ps2 to psu, xps, etc. Make sure the proper cables it may take a few seconds depending on how full it is. For this reason nand flash memory is organized in to pages, similar to how a hard drive is organized into sectors. If you're not careful, the memory card can fill up quickly, so learning how to delete data is essential turn on the ps2 console. The console is limited in this regard. Go to my computer or this pc on your desktop. After opening your memory card remove the memory unit of your memory card. So, if you have valid and updated backup of your ps2 memory card on some other location such as on pc, external hard drive. ...
09.10.2021 · info detail/cek lokasi monggo ke nomor: Penetapan ini tertuang dalam surat keputusan wali kota medan no. Luas tanah 2029 m² lebar depan 17 m shm luas bangunan : Biasanya, penguasaan penguasaan tanah dengan bukti surat girik tanah mendapatkannya dari warisan atau keluarga. 17.09.2018 · untuk itu, semua tanah yang belum sertifikat, seperti tanah girik perlu didaftarkan konversi haknya ke kantor pertanahan setempat. Mengenal Surat Tradisional Letter C Tanah | Masihkah from blogpictures.99.co 658.5/31.k/viii/2021 tentang lokasi percontohan kawasan bebas sampah di kota medan. Penetapan ini tertuang dalam surat keputusan wali kota medan no. Penting diketahui, status tanah girik dalam hak atas tanah Jenis tanah lainnya yang belum … Bertemu langsung dengan penjual adalah cara aman berbelanja. Hal tersebut diatur dalam uu no. Seruan in...
How To Make Mother's Day Greeting Cards : Handmade Greeting Card With Paper Vase For Birthday ... / Make your mother's day wishes , cards, greetings, facebook covers, profile pictures and many more using our mother's day image generators and share the generated image of mother's day card with your mother to show your love and affection for her.here is the complete step by step tutorial on how to make mother's day card and greetings. . Write wishes for your mother on the card with the help of a marker. Make a hole at the top of each half of the card; Beautifully handmade mother's day card! Visit the smilebox website and create a free account. Printable happy mother's day greeting card, 5x7 happy mother's day card, watercolor cherry blossoms happy mother's day card | crd01g coffeecatcorner. Yellow rose gingham, heartfelt mother's day wish f…. Mother's day card pink & purple roses for neighbor…. Send this lovely ...
Komentar
Posting Komentar